Dental Crowns in Leesburg, FL
Dental crowns, often referred to as “caps,” are custom-fitted restorations designed to protect and strengthen compromised teeth. At Leading Edge Dental, our crowns are crafted from high-quality, natural-looking porcelain to enhance your smile’s aesthetics while restoring full functionality.
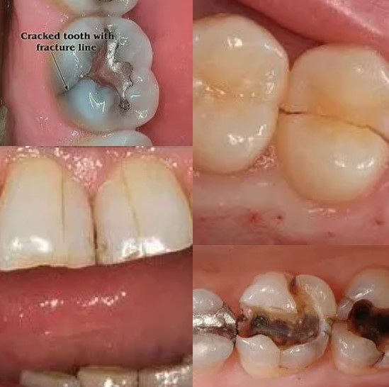
Whether you need to repair a fractured tooth or replace a large, failing filling, our Leesburg restorative dentistry team provides durable solutions that blend seamlessly with your natural teeth.
Request an Appointment
When is a Dental Crown Necessary?
Our Leesburg dental office may recommend a crown for several clinical reasons:
- Weakened Teeth: When a tooth has more filling material than natural structure, it becomes prone to fractures.
- Advanced Decay: Extensive damage that cannot be supported by a standard filling.
- Root Canal Protection: After a root canal, teeth become brittle; a crown provides the necessary reinforcement.
- Bridge Support: Crowns serve as anchors for dental bridges to replace missing teeth.
- Cosmetic Enhancement: To correct malformed, malpositioned, or severely discolored teeth.
Advanced Crown Materials and Technology
At Leading Edge Dental, we offer a variety of modern materials, including **all-porcelain** and **zirconium crowns**. Zirconium is highly prized in Leesburg restorative dentistry for its incredible strength and lifelike transparency. During your consultation, we will discuss the best material based on your bite strength and aesthetic goals.
The Dental Crown Process: What to Expect
Achieving a perfect fit typically requires two visits to our Leesburg, FL dental clinic.
Your First Appointment: Preparation & Digital Scanning
To ensure your total comfort, we administer a local anesthetic. Once you are comfortable, the tooth is prepared to receive the crown. We utilize advanced 3D digital scanners rather than traditional messy impressions. This technology provides a more precise fit and a more comfortable experience for our patients. A custom temporary crown is then placed to protect your tooth while our laboratory fabricates your permanent restoration.
Your Second Appointment: Final Placement
Once your custom crown is ready, you will return to our office to have the temporary removed. We meticulously check the fit, bite alignment, and color match. After you approve the appearance and feel of the restoration, the crown is permanently seated using high-strength bonding agents.
Protecting Your Restored Smile
A high-quality crown can last for many years with proper care. We recommend routine Leesburg dental checkups and standard brushing and flossing to maintain the health of the underlying tooth and the integrity of the crown.
If you have a broken or sensitive tooth, call us at (352) 365-6442 to see if a dental crown is the right solution for you.

Join the Leading Edge Dental Family
At Leading Edge Dental, we make high-quality oral healthcare accessible and comfortable for the Leesburg, FL community. Whether you have questions about our services or are ready to book your next cleaning, our team is standing by to assist you.
Schedule Your Appointment
Connect with our Leesburg dental office today to start your journey toward a healthier smile.
Visit Us:
10601 US-441 Suite C-1B, Leesburg, FL 34788
Call Us:
(352) 365-6442
